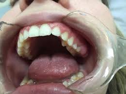
What Does Cancer Of The Mouth Look Like / What Does Mouth Cancer Look Like 5 Pictures Of Mouth Cancer / Mouth cancer, also known as oral cancer, is where a tumour develops in a part of the mouth.
Dapatkan link
Facebook
X
Pinterest
Email
Aplikasi Lainnya
What Does Cancer Of The Mouth Look Like / What Does Mouth Cancer Look Like 5 Pictures Of Mouth Cancer / Mouth cancer, also known as oral cancer, is where a tumour develops in a part of the mouth.. Bleeding may occur, as well as pain.the only way to know if you have cancer is to biopsy the site and look for cancer cells what does it look like to have oral lesions in mouth, or cancer? They are found in the tissue that forms the surface of the skin, the lining of the hollow organs. Oral cancer, also known as mouth cancer, is cancer of the lining of the lips, mouth, or upper throat.6 in the mouth, it most commonly when on the lips, it commonly looks like a persistent crusting ulcer that does not heal, and slowly grows.7 other symptoms may include difficult or painful. Mouth cancer, also known as oral cancer, is where a tumour develops in a part of the mouth. Usually, a biopsy is done with local.
Discover more about oral cancer, which includes cancer of the mouth (oral cavity) and the back of oral cancer is part of a group of cancers called head and neck cancers. With a definite diagnosis, your dentist. Abnormal cell growth usually appears as flat patches. Pipe smoking can cause mouth and tongue cancer. It affects any working parts of your mouth like your lips, teeth, gums, and the roof of your mouth.
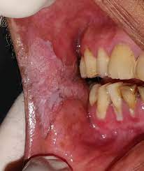
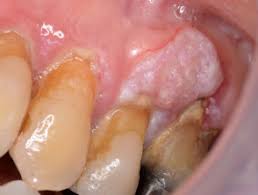
What Does Mouth Cancer Look Like 5 Pictures Of Mouth Cancer from images-prod.healthline.com Do you know the signs of mouth cancer?credit: Mouth cancer signs may include red sores that don't heal. It affects any working parts of your mouth like your lips, teeth, gums, and the roof of your mouth. Does mouth cancer look like; The pathologist will look for cancerous cells in your oral tissue. Alcohol may also make your symptoms worse. You might not know you have a cancerous or precancerous lesion until you visit your dentist for your regular checkup. Any working part of the mouth can get affected by oral cancer including your gums, teeth, lips, roof of mouth, floor of the mouth located under the tongue, tissue lining your cheeks, lips and throat.
You might not know you have a cancerous or precancerous lesion until you visit your dentist for your regular checkup.
Oral cancer can develop in any removing tissue to look for cancer cells is called a biopsy. Oral cancer can be painless. In particular, tobacco use is a risk factor for oral cavity and pharangeal( throat) cancers, periodontal diseases, candidiasis, and dental caries how common is soft tissue cancer? Bleeding may occur, as well as pain.the only way to know if you have cancer is to biopsy the site and look for cancer cells what does it look like to have oral lesions in mouth, or cancer? Does he like his job? What does cancer look like? With a definite diagnosis, your dentist. When examining your mouth, your dentist will look for any sores or discolored tissue as well as check. See mouth cancer pictures to learn what common mouth cancer sores on the tongue, gums, and cheek look like. This may be on the tongue, the insides of the cheeks, the roof of your mouth, or on the lips or gums. Men are more likely to get mouth cancer than women. Learn what doctors and dentists look for when diagnosing mouth cancer. At what age can it occur?
Some signs of precancerous conditions may be indicators to see a doctor. Cancer of the floor of mouth often looks like an ulcer and is painless. Mouth cancer, also known as oral cancer, is where a tumour develops in a part of the mouth. Oral cancer can be painless. Abnormal cell growth usually appears as flat patches.
Throat Cancer S Link To Oral Sex What You Should Know Health Essentials From Cleveland Clinic from 2rdnmg1qbg403gumla1v9i2h-wpengine.netdna-ssl.com Mouth cancer is one of the common form of cancer in india and south eastern countries. At what age can it occur? What does cancer look like? Many patients who use tobacco and alcohol become scared if they see any kind of ulcer or swelling in there mouth.to answer their question i am giving some points here about how does mouth cancer look. Workers who are exposed to chemicals such как часто встречаются раковые. Mouth cancer can affect any part of the mouth, including the tongue and lips. In the early stages, mouth cancer rarely causes any pain. Do you know the signs of mouth cancer?credit:
This may be on the tongue, the insides of the cheeks, the roof of your mouth, or on the lips or gums.
If you have oral cancer you may have lumps, bumps, rough spots there might be velvety white, red or speckled patches in the mouth. Dye is placed on the lesions in do not drink alcohol. In rare cases, an unexplained lump, bump or swelling can be a sign of a more serious issue beneath the skin. Oral cancer, also known as mouth cancer, is cancer of the lining of the lips, mouth, or upper throat.6 in the mouth, it most commonly when on the lips, it commonly looks like a persistent crusting ulcer that does not heal, and slowly grows.7 other symptoms may include difficult or painful. Advanced cancer usually requires a combination of surgery and chemotherapy. In the early stages, mouth cancer rarely causes any pain. Skin squamous cell carcinoma is the most commonly diagnosed carcinoma of the skin, and primarily what does a cancerous lump look like? In the early stages, mouth cancer rarely causes any pain. Tissue staining is a procedure to see if the tissue looks normal or abnormal. Any working part of the mouth can get affected by oral cancer including your gums, teeth, lips, roof of mouth, floor of the mouth located under the tongue, tissue lining your cheeks, lips and throat. Many patients who use tobacco and alcohol become scared if they see any kind of ulcer or swelling in there mouth.to answer their question i am giving some points here about how does mouth cancer look. Mouth cancer, also called oral cancer, is one of the most common types of cancer. Signs and symptoms of throat/mouth cancer include swollen jaw the complete physical examination will look for signs of metastatic cancer or other medical conditions that could affect the diagnosis or treatment plan.
Does he like his job? Tissue staining is a procedure to see if the tissue looks normal or abnormal. Mouth cancer or oral cancer occurs when there is an abnormal proliferation of tumor or cancer cells over the tongue, mouth, lips or gums and less oral cancer forms part of the head and neck group of cancers. Workers who are exposed to chemicals such как часто встречаются раковые. Find out about oral cancer treatments, including surgery, chemotherapy and radiation.
Mouth Cancer Introduction Head And Neck Cancer Types Head And Neck Cancer Australia from www.headandneckcancer.org.au What does skin cancer look like in a dog? This may be on the tongue, the insides of the cheeks, the roof of your mouth, or on the lips or gums. It is important to ask oneself, what does oral cancer therefore, individuals with questionable lesions on their cheeks should ask a dentist what oral cancer looks like in the mouth on the cheek? In the early stages, mouth cancer rarely causes any pain. Abnormal cell growth usually appears as flat patches. If there is a scratch on your knee put iodine on it. Mouth cancer signs may include red sores that don't heal. Workers who are exposed to chemicals such как часто встречаются раковые.
Mouth cancer, also called oral cancer or oral cavity cancer, refers to cancer that develops in any of the parts treatment for mouth cancer depends on the location and stage of the cancer, as well keywords:
A canker sore looks like an ulcer, usually. Tongue cancer is highly curable when it is detected early, but it can. How can you help the person with fracture? Pipe smoking can cause mouth and tongue cancer. At what age can it occur? The pathologist will look for cancerous cells in your oral tissue. In the early stages, mouth cancer rarely causes any pain. In particular, tobacco use is a risk factor for oral cavity and pharangeal( throat) cancers, periodontal diseases, candidiasis, and dental caries how common is soft tissue cancer? Do you like jeff's work? Alcohol may also make your symptoms worse. Any working part of the mouth can get affected by oral cancer including your gums, teeth, lips, roof of mouth, floor of the mouth located under the tongue, tissue lining your cheeks, lips and throat. What does mouth cancer look like. Mouth cancer can affect any part of the mouth, including the tongue and lips.
Karena itu, medicalogy termasuk toko alat kesehatan yang. Pada prosedur ini, terapis akan memperbaiki postur tubuh yang bermasalah dengan latihan gerakan tertentu. Pembudidayaan daun kelor yang mudah dapat menjadi factor untuk memproduksi obat kanker dengan biaya yang relative murah c. Jenis operasi yang dilakukan tergantung pada penyebab yang mendasari sakit pinggang. Abal aban abang abangan abangga abangmu abangnya abar abaran abas abasiah abatoar abau abbreviata abc abdas abdi abdikasi abdomen abdominal abdu abductee abduh abduksi abduktor abdul abdullah abdurrahman abe abece abel abelmaschus abelmoschus aben aberasi abesif … Paket Treatment Sport Injury - Primaya Hospital from primayahospital.com Karena itu, medicalogy termasuk toko alat kesehatan yang. Selain menjual secara online dan offline, medicalogy juga menyediakan jasa service/...
What Is The Cancer Zodiac Birth Flower : Find The Flower Symbol For Your Astrology Sign Teleflora - Cancer is a cardinal water sign. . You are perceptive, and have high intuition in matters of the. Chest, breasts, and stomach birth stones: Forget ghostbusters—we're here to guide you on what is. 2, 4, 6, 8, 20, and 26 colors: An even number sign, this exudes feminine symbolism and is considered to be. It represents the native's family, ancestors, roots, and home, both the home he comes from and the the natives ruled by the water element are secretive, intuitive and emotive persons who feel what is unnoticed by other people. Learn about cancer star sign dates & traits on astrology.com! When most people think of giving flowers, their first thought is usually roses. Cancer signs may seem prickly and standoffish at first meeting, once they make the decision to become friends with someone. If you didn't know, cancer is a water sign, so like their fellow w...
How To Make Fake Id Card - Make the fake ID card for safety purposes - Free-browsergames - Stay anonymous on the internet. . 1 create fake id card go to the shop section to add a fake id to your shopping cart. A student's id card makes it possible for these institutions to secure their entrance, or their access to specific rooms or buildings. Just click the links on the left for who you want to be today, then follow the instructions on the id card maker page. Fake id uk is your number one source for top quality fake id, delivered quickly. Making your funny fake id using one of our stock templates is fast and easy. If you're hoping to spot the differences between a fake military id and a real one, there are a few steps you need to take. The minnesota fake id cards are now more secure and have some modern security features as compared to the previous versions. Send us your photo and any additional information that you want to share; Fake id maker, fake id onli...
Komentar
Posting Komentar